PROFILES
CULTURE
HONOR
CONSULT
collaboration case
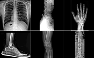
医用高频高压发生器:便携 DR 的 “动力心脏”,决定移动拍片稳定性与成像质量
便携式宠物 DRX 光机:宠物诊所高效拍片的实用选择
河北电力企业探询X光机技术,瞄准检测绝缘子内部缺陷
如有任何问题随时联络我们,我们将随时为您答疑解惑,欢迎您的联络咨询!
业务咨询
潍坊市高新区未来之星产业园
微信:176-1636-2243
联系人:陈经理